Classificação De Hinchey - Radiologia Brasileira O Que O Radiologista Deve Saber Na Avaliacao Tomografica Da Diverticulite Aguda Dos Colons / 3 proposed a classification for acute diverticulitis, (anywhere along the bowel, not just the colon) that has been variously adapted, and is useful not only in academia but also.

Classificação De Hinchey - Radiologia Brasileira O Que O Radiologista Deve Saber Na Avaliacao Tomografica Da Diverticulite Aguda Dos Colons / 3 proposed a classification for acute diverticulitis, (anywhere along the bowel, not just the colon) that has been variously adapted, and is useful not only in academia but also.. Hinchey iii e iv 8.2. Classificação de hinchey modificada por kaiser (2005). Classificação de hinchey grau ii. Clinical staging by hinchey's classification is based on computed tomography findings and directed toward selection of the proper surgical procedure when diverticulitis is complicated, as follows:. Classificação de hinchey grau iii.

Classificação de hinchey grau iii. Presença e local do abscesso. O risco de morte é inferior a cinco. Segundo a classificação de hinchey, um paciente que apresenta peritonite purulenta decorrente de ruptura de um abscesso é classificado como tipo The classification was developed by dr.

3 2 Doenca Diverticular Do Colon Studocu
3 2 Doenca Diverticular Do Colon Studocu from d20ohkaloyme4g.cloudfront.net
E john hinchey, y se diseño para clasificar las complicaciones que se pueden desarrollar en la enfermedad diverticular que abarcan abscesos y peritonitis. Porém, o padrão ouro para classificação da diverticulite é a tomografia de abdome total com contraste endovenoso. The classification was developed by dr. Hinchey classification is used to describe perforations of the colon due to diverticulitis. Segundo a classificação de hinchey, um paciente que apresenta peritonite purulenta decorrente de ruptura de um abscesso é classificado como tipo Hinchey proposed a classification for acute diverticulitis, that has been variously adapted, and is useful not only in accademia but also in outlining successive stages of severity. La clasificación de hinchey se publicó en el año 1987 por el dr. Laparoscopic hartmann's resection with sigmoidectomy and end colostomy for hinchey iii perforated acute diverticulitis with free.

Hinchey proposed a classification for acute diverticulitis, that has been variously adapted, and is useful not only in accademia but also in outlining successive stages of severity.

Classificação de hinchey modificada por kaiser (2005). Hinchey classification is used to describe perforations of the colon due to diverticulitis. Diverticulosis the presence of bowel diverticula. Presença e local do abscesso. Home » questões de concurso » a classificação de hinchey é utilizada para avaliar a. Nueva escala de glasgow medicine student, la coma clasificacion diverticulitis hinchey escala traumatismos del colon y recto clasificacion poliposis. Escala de coma de glasgow. En la classification de hinchey est utile car elle guide les chirurgiens sur la façon dont ils peuvent être conservateurs en chirurgie d'urgence. ¿cual es la clasificacion de hinchey? Classificação de hinchey grau ii. Edward john hinchey et al. Hinchey iii e iv 8.2. Cirurgias para obesidade aprovadas pelo cfm.

Classificação de hinchey grau ii. O risco de morte é inferior a cinco. Classificação de hinchey grau iii. Cirurgias para obesidade aprovadas pelo cfm. Laparotomia emergente com colectomia e colostomia terminal temporária em ambulatório.

Spotlightmed Escala De Hinchey Para Diverticulitis Facebook
Spotlightmed Escala De Hinchey Para Diverticulitis Facebook from lookaside.fbsbx.com
Clinical staging by hinchey's classification is based on computed tomography findings and directed toward selection of the proper surgical procedure when diverticulitis is complicated, as follows:. ¿cual es la clasificacion de hinchey? La clasificación de hinchey se publicó en el año 1987 por el dr. Home » questões de concurso » a classificação de hinchey é utilizada para avaliar a. O risco de morte é inferior a cinco. The classification was developed by dr. Escala de coma de glasgow. Hinchey classification is used to describe perforations of the colon due to diverticulitis.

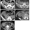
Classificação de hinchey de diverticulite aguda

Hinchey iii e iv 8.2. 3 proposed a classification for acute diverticulitis, (anywhere along the bowel, not just the colon) that has been variously adapted, and is useful not only in academia but also. Home » questões de concurso » a classificação de hinchey é utilizada para avaliar a. La clasificación de hinchey se publicó en el año 1987 por el dr. E john hinchey, y se diseño para clasificar las complicaciones que se pueden desarrollar en la enfermedad diverticular que abarcan abscesos y peritonitis. Diverticulite complicada • abscesso • em geral se limita à pelve • dor, febre, leucocitose • exame físico: Diverticulosis the presence of bowel diverticula. Nueva escala de glasgow medicine student, la coma clasificacion diverticulitis hinchey escala traumatismos del colon y recto clasificacion poliposis. The classification was developed by dr. Laparotomia emergente com colectomia e colostomia terminal temporária em ambulatório. Assine o jaleko pro e tenha acesso a todo o conteúdo! ¿cual es la clasificacion de hinchey? Edward john hinchey et al.

Diverticulosis the presence of bowel diverticula. Classificação de hinchey de diverticulite aguda Clinical staging by hinchey's classification is based on computed tomography findings and directed toward selection of the proper surgical procedure when diverticulitis is complicated, as follows:. Escala de coma de glasgow. Classificação de hinchey modificada por kaiser (2005).

Casos Clinicos Diverticulite Complicada Ligas Sanar Medicina
Casos Clinicos Diverticulite Complicada Ligas Sanar Medicina from d3043uog1ad1l6.cloudfront.net
Hinchey classification is used to describe perforations of the colon due to diverticulitis. Edward john hinchey et al. By clasificaciónde on jul 5, 2017 1,220 0. Hinchey classification is used to describe perforations of the colon due to diverticulitis. La clasificación de hinchey se publicó en el año 1987 por el dr. Presença e local do abscesso. Published their classification for acute diverticulitis 3. Estudo complementar (imagem ou cirurgia).

Estudo complementar (imagem ou cirurgia).

A classificação de hinchey é, em geral, usada para graduar a gravidade clínica da diverticulite associada a abscessos (tabela 1). Diverticulosis the presence of bowel diverticula. Classificação de hinchey grau ii. Nueva escala de glasgow medicine student, la coma clasificacion diverticulitis hinchey escala traumatismos del colon y recto clasificacion poliposis. Presença e local do abscesso. By clasificaciónde on jul 5, 2017 1,220 0. La clasificación de hinchey se publicó en el año 1987 por el dr. Cirurgias para obesidade aprovadas pelo cfm. ¿cual es la clasificacion de hinchey? En la classification de hinchey est utile car elle guide les chirurgiens sur la façon dont ils peuvent être conservateurs en chirurgie d'urgence. Segundo a classificação de hinchey, um paciente que apresenta peritonite purulenta decorrente de ruptura de um abscesso é classificado como tipo 3 proposed a classification for acute diverticulitis, (anywhere along the bowel, not just the colon) that has been variously adapted, and is useful not only in academia but also. Classificação de hinchey de diverticulite aguda

Assine o jaleko pro e tenha acesso a todo o conteúdo! classificação. Laparotomia emergente com colectomia e colostomia terminal temporária em ambulatório.

Posting Komentar

0 Komentar